É o resultado do crescimento anormal de um pequeno segmento do osso do calcanhar, que se forma na parte de baixo ou na região posterior desse osso. As mulheres são as que mais sofrem com o problema, segundo explica o médico ortopedista Ludovico PierI Neto.
Por Claudia Costa
O Calcâneo é o maior osso do pé humano, um dos sete que constituem o tarso, estrutura anatômica e funcional da parte superior do pé, próxima ao tornozelo. É o calcâneo que dá forma ao calcanhar. Sua principal função é oferecer suporte para grande parte do peso corporal, a fim de redistribuí-lo depois por todo o pé, quando a pessoa caminha, salta ou corre. Para tanto, possui uma camada espessa de células queratinizadas, revestida por almofada de tecido gorduroso, que dificulta a desidratação das camadas inferiores da pele e amortece o impacto.

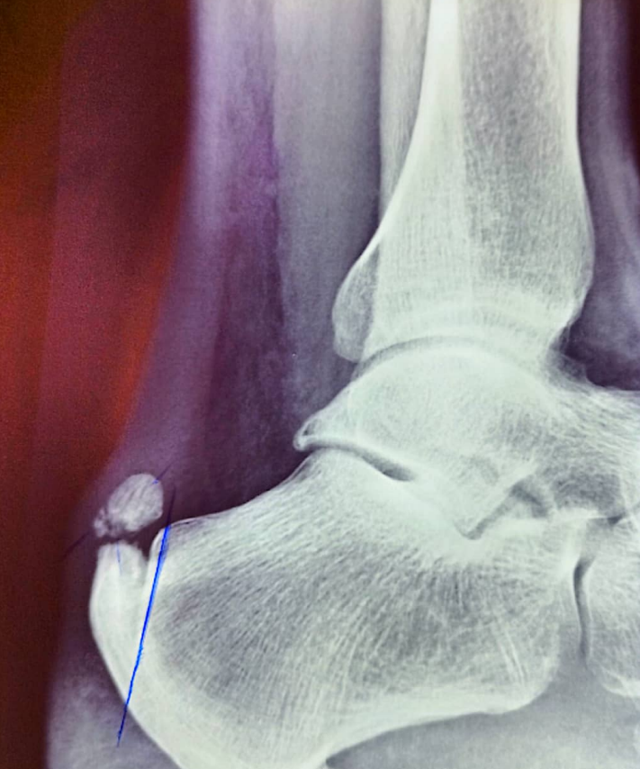
O Esporão é uma calcificação “espícula” óssea que se forma na parte inferior ou posterior do ósseo calcâneo. Ele se forma em resposta ao impacto excessivo, esforço ou peso acima do esperado. O esporão pode ou não estar associado a dor. Algumas vezes não gera dor que acontece quando o esporão pressiona a fáscia plantar, conhecida como fasceite. “A fascite plantar é uma inflamação que acomete a fáscia plantar, membrana que se estende desde o osso calcâneo até os dedos do pé. Já o esporão do calcâneo é uma saliência óssea que se projeta na base ou atrás do osso calcâneo”,
Tanto o esporão do calcâneo quanto a fascite plantar podem ocorrer em momentos diferentes, ou simultaneamente”, explica o médico londrinense Ludovico Pieri Neto, especialista em cirurgia de ombro, joelho, tornozelo e pé. Ele atua na área há 36 anos.

Existem alguns tipos de esporão. O plantar é o mais comum, o esporão posterior junto ao tendão calcâneo também chamado de Aquiles , e que leva a uma inflamação local chamada “doença de Haglund” (A síndrome de Haglund é uma deformidade do osso e dos tecidos no calcanhar que pode causar inflamação, dor e inchaço).
O que provoca o problema

Quando andamos, corremos ou ficamos em pé por muito tempo, geramos uma sobrecarga na região de apoio do calcanhar. A extremidade inferior do calcanhar pressiona as “estruturas moles ( gordura , músculo, fáscia) e como o apoio é maior no local já é um motivo por si só para desenvolver sobrecarga, e eventualmente dor local. Além disso, sapatos moles ou duros demais e sem amortecedores ou fatores relacionados a atividades físicas (pessoa começa a andar ou correr, sobrepeso, mudança de hábito postural) podem e vão aumentar a carga. Geralmente o aumento de pressão local provoca dor.
O tratamento basicamente é atuar na causa ; retirar a carga local, distribuindo melhor a pressão , perdendo peso corporal, reeducando sua atividade física, readequando calçados ( por exemplo, retirando chinelos, sapatilhas, “rasteirinhas” ), que fazem com que a carga seja sempre mais na região posterior do pé, ou seja, no calcâneo. É importante também o auxílio com suporte fisioterápico , palmilhas de calcanheiras, alongamentos regulares em casa também e medicamentos são medidas para aliviar a dor.
O diagnóstico é clínico é realizado pelo médico que apalpa o local e expõe o pé a carga durante a realização de testes, esses geralmente vão provocar dor específica no local.
Exames de imagem como Raio X , ultrassom e ressonância magnética mostram que além da calcificação ( espícula no local) , e inflamação local provocado pelo excesso de pressão por exemplo.
Em muitos casos é necessário a aplicação de medicação local, popularmente conhecida como infiltração, que surte resultados. Quando as outras medidas clínicas e fisioterápicas não cedem as dores, o tratamento cirúrgico é o indicado em último caso para o esporão inferior plantar).
Após a chegada do sapatênis e o uso de calçados conhecidos como E.P.I, os homens passaram a apresentar o problema também. Entretanto, as mulheres, mesmo trabalhando fora de casa, ainda são as que mais sofrem com o problema do esporão, pois usam calçados inadequados como os citados anteriormente.


Deixe um comentário